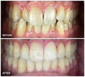
Take a Look at Some of Our Exceptional Dental Work
Take a look at our recent dental work and witness the exceptional treatment we offer at Pearl dentistry of Bridgeville. Whether it's children's dentistry or cosmetic dentistry, we provide a wide range of services. Reach out to us now to book an appointment as we warmly welcome new patients!












